99 x Neukölln
Museum Neukölln
Maxim Louis Casimir Gocht
Die Dauerausstellung 99 x Neukölln widmet sich – wie der Titel bereits andeutet – dem gleichnamigen Berliner Bezirk. Seit Januar 2011 zeigt das Museum Neukölln eine Auswahl von 99 Objekten, die unterschiedliche Aspekte des Alltags, der Geschichte und der sozialen Realität Neuköllns veranschaulichen. Die Bandbreite reicht von medizinischen Instrumenten und historischen Kidduschbechern über Bierflaschen und Feuerzeuge bis hin zu zeitgenössischer Mode.
Jedes Objekt wird in einem eigenen Präsentationsmodul – einer sogenannten „Kapsel“ – ausgestellt. Mittels eines interaktiven Terminals von 2011, das trotz seines Alters technisch und visuell nach wie vor überzeugt, erhalten Besucher:innen vertiefende Informationen. Die Objekte werden so zu vielschichtigen Zeitzeug:innen, die individuelle Geschichten erzählen und zugleich in größere historische und gesellschaftliche Kontexte eingebettet sind. So verweist etwa eine Bierflasche auf die Geschichte der Kindl-Brauerei und die Kneipenkultur Neuköllns; ein Röntgenbild eröffnet Einblicke in die Fluchtgeschichte von Amal Maarouf; eine Mütze mit dem arabischen Schriftzug „Rütli“ verweist auf schulische Integrationskonflikte und Reformen an der gleichnamigen Schule.
Im Zentrum dieser Ausstellungsbesprechung steht die Frage, wie 99 x Neukölln das Thema Migration vermittelt – obwohl dies nicht explizit im Fokus der Ausstellung steht. Anhand von drei exemplarischen Objekten wird untersucht, auf welche Weise Migration musealisiert wird, welche Narrative dadurch entstehen und wie diese in den Ausstellungskontext eingebettet sind. Die Auswahl der drei Objekte erfolgte mit dem Ziel, unterschiedliche Dimensionen von Migration – Krieg und Flucht, soziale Integration und politische Verfolgung – exemplarisch abzubilden. Dabei wurde Wert auf eine möglichst große Bandbreite an biografischen und thematischen Hintergründen gelegt.
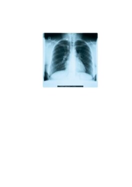
Ein medizinisches Röntgenbild aus beschichtetem Kunststoff, 35 cm x 35 cm groß, liegt – wie alle Objekte – in einer der typischen „Kapseln“. Auf den ersten Blick vermittelt es nur wenige Informationen: Ein kleines Schild am unteren Bildrand nennt den Namen Amal Maarouf, das Aufnahmedatum 15.01.2001 sowie ihr (vermutliches) Geburtsdatum: 15.06.1962. Letzteres scheint jedoch nicht zu passen – denn in der weiteren Kontextualisierung heißt es, Amal sei zehn Jahre alt gewesen, als sie im palästinensischen Flüchtlingslager Tal al-Zaatar verletzt wurde.
Das Röntgenbild zeigt Amals Oberkörper ab dem Rippenbogen. Oberhalb des rechten Rippenbogens ist ein heller Fremdkörper zu erkennen. Durch die Informationen am drehbaren Terminal erfährt man, dass es sich dabei um einen Bombensplitter handelt. Die mehrstufige Kontextualisierung des Objekts gibt folgende Geschichte preis: Amal Maarouf wuchs in dem palästinensischen Flüchtlingslager Tal al-Zaatar auf, das 1976 während des libanesischen Bürgerkriegs 52 Tage lang von christlich-libanesischen Milizen bombardiert wurde. Bei einem Bombeneinschlag starb ihre Mutter; Amal und ihre beiden Brüder wurden schwer verletzt. Der Splitter, der auf dem Röntgenbild zu sehen ist, stammt von jener Bombe und konnte bis heute nicht entfernt werden. Nach dem Ende der Belagerung gelang Amal gemeinsam mit ihren Brüdern und ihrer Großmutter die Flucht. Mithilfe des Roten Kreuzes erreichten sie Beirut, später wurde Amal von ihrem Vater, der bereits seit Anfang der 1970er Jahre in Deutschland lebte, nach Berlin geholt. 1980 heiratete Amal in Berlin, sie bekam vier Kinder. Mit ihrem Mann engagiert sie sich bis heute im Deutsch-Arabischen Zentrum in der Uthmannstraße, das Hilfestellung bei Bildungs- und Migrationsfragen bietet.
Was zunächst klinisch und nüchtern wirkt, entwickelt durch die biografische Kontextualisierung eine starke emotionale Wirkung: Das vermeintlich stumme Bild wird zu einem Zeugnis von Krieg, Flucht und Überleben. Dabei wird ein individuelles Schicksal erzählt, das zugleich exemplarisch für viele ähnliche Erfahrungen steht. Bemerkenswert ist dabei auch der Umstand, dass Amal Maarouf selbst das Objekt 2010 gespendet hat – ihre Geschichte wurde also nicht „über“ sie erzählt, sondern mit ihrer Einwilligung und Beteiligung. Dies verleiht dem Objekt Authentizität und ermöglicht einen Perspektivwechsel: Aus dem „Über-Betroffene-Sprechen“ wird ein „Mit-Betroffenen-Sprechen“.

© Friedhelm Hoffmann / Museum Neukölln
Das zweite Objekt wirkt auf den ersten Blick spektakulärer, erzählt jedoch eine weniger dramatische, dafür umso alltäglichere Migrationsgeschichte. Es handelt sich um eine große Karnevalsmaske aus Gips, Pappmaché und Draht. Sie misst 64 cm x 41 cm x 46 cm und wurde im Jahr 2009 vom Museum angekauft.

© Friedhelm Hoffmann / Museum Neukölln
Die Geschichte der Maske begann 1999, als die kolumbianische Künstlerin Nubia Ramirez der Liebe wegen nach Berlin kam. Sie sprach zunächst kein Deutsch und fühlte sich fremd, was vor allem an der Sprachbarriere lag. Eine Einladung von Freund:innen zum Karneval der Kulturen markierte einen Wendepunkt: Die lebendige Atmosphäre, die tanzenden Menschen, die Vielfalt der Kulturen und die farbenfrohen Kostüme vermittelten ihr zum ersten Mal ein Gefühl von Vertrautheit in der neuen Umgebung. Seitdem nimmt Nubia Ramirez regelmäßig am Karneval teil: alle zwei Jahre mit ihrer Tanzgruppe Step by Step, für die sie eigene Choreografien entwickelt. Die ausgestellte Maske hat sie selbst gefertigt, getragen wurde sie von einer Tänzerin der befreundeten Gruppe Comparsa Chamanes. Der Karneval der Kulturen steht symbolisch für ein Miteinander in der Differenz: Er bringt unterschiedlichste kulturelle Ausdrucksformen zusammen und schafft einen offenen, spielerischen Raum für Begegnung. Die Geschichte von Nubia Ramirez zeigt exemplarisch, wie wichtig solche Räume für migrantische Selbstverortung und Zugehörigkeit sein können. Die Veranstaltung bietet nicht nur kulturelle Sichtbarkeit, sondern auch emotionale Anknüpfungspunkte für Menschen, die sich in einer neuen Umgebung zunächst fremd fühlen.
Im Unterschied zum ersten Objekt geht es hier nicht um Krieg oder Flucht, sondern um Fragen der sozialen und kulturellen Integration. Auch hier ist die Perspektive der Betroffenen präsent: Zwar wurde die Maske nicht direkt von Nubia Ramirez gespendet, aber ihre Geschichte wurde gemeinsam mit ihr dokumentiert. Dadurch entsteht erneut ein individueller Zugang zur Migrationsgeschichte – einer, der nicht durch Not, sondern durch Gestaltung, Teilhabe und künstlerischen Ausdruck geprägt ist.
Das dritte und letzte Objekt wirkt zunächst unscheinbar: ein Amulett, geschnitzt aus einem Pfirsichkern, gerade einmal 3 cm x 2 cm x 1 cm groß. Auf der einen Seite sind zwei Friedenstauben zu sehen, auf der anderen das islamische Motiv des „Weinenden Steins“. Es wurde um 1989 gefertigt und 1992 dem Museum gespendet. Doch hinter dem kleinen Objekt verbirgt sich eine komplexe Geschichte politischer Verfolgung, Flucht und familiärer Verbundenheit. Das Amulett schnitzte Fazil al Saokal in den ersten beiden Jahren seiner Haft in Syrien. Als Mitglied der Syrischen Kommunistischen Arbeiterpartei wurde er ohne Gerichtsverfahren zu elf Jahren Gefängnis verurteilt – von 1988 bis 1999. Als er nach zwei Jahren erstmals Besuch empfangen durfte, übergab er das Amulett seiner Mutter. Sie brachte es nach Beirut zu seinem Bruder Zakaria al Saokal, ebenfalls politischer Aktivist, der aus Angst vor Verhaftung ins Exil geflohen war.
Zakaria und seine Frau Nadia lebten zunächst in Beirut, ihr Haus wurde zur Anlaufstelle für andere syrische Flüchtlinge. Doch als ein Freund vor der Tür erschossen wurde, sahen sie sich gezwungen, auch von dort zu fliehen. Zakaria reiste über Zypern nach Deutschland, seine Frau folgte Monate später mit den vier Kindern. In Berlin-Neukölln landete die Familie in einer Unterkunft für Geflüchtete in der Gutschmidtstraße, wo sie zunächst zu sechst in zwei kleinen Räumen lebte. Das Gefühl, „Bittsteller zu sein“, empfanden die beiden älteren Kinder, Fadia und Nabil, als besonders belastend – sie begannen noch 1990 einen Deutschkurs. Seit 1998 besitzt die Familie die deutsche Staatsangehörigkeit. Im Jahr 2010 befanden sich alle vier Kinder in Ausbildung, die Familie lebte in einer eigenen Wohnung in Kreuzberg. Dennoch berichten Zakaria und Nadia, wie schwer es trotz Integrationsarbeit war, eine unbefristete Arbeitsstelle zu finden. 1999 wurde auch Fazil aus der Haft entlassen. Er lebt mit seiner Familie in Damaskus, leidet jedoch weiterhin unter den Folgen der Folter, wie er 2010 berichtete.
Die Kontextualisierung des Objekts verweist auf die politischen Rahmenbedingungen der 1990er Jahre: Nur drei Jahre nach Zakarias Ankunft in Berlin wurde das deutsche Asylrecht durch den sogenannten Asylkompromiss drastisch verschärft. Seitdem gilt das Prinzip des sicheren Drittstaats (§16a GG): Wer auf der Flucht ein EU-Land oder sicheres Drittland durchquert, kann in Deutschland kein Asyl mehr beantragen. Die Anerkennungsquote sank von 3 bis 5 Prozent auf 0,8 Prozent. Hinzu kam ein fünfjähriges Arbeitsverbot für Asylsuchende, das ihre Abhängigkeit vom Staat verfestigte. Das Amulett steht somit nicht nur für persönliche Erinnerung und familiäre Solidarität, sondern auch für politische Unterdrückung, systematische Gewalt und die restriktiven Asylpolitiken im wiedervereinten Deutschland. Besonders bedeutsam ist, dass Zakaria das Amulett 1992 dem Museum schenkte – und damit bewusst seine Geschichte zur öffentlichen Reflexion freigab. Wie bei den anderen Objekten wird nicht über Betroffene gesprochen, sondern mit ihnen. Das Objekt ist Ausdruck gelebter Erinnerung und Teilhabe am kulturellen Gedächtnis.

Die Ausstellung 99 x Neukölln behandelt das Thema Migration – trotz ihres Alters von 15 Jahren – auf eine bemerkenswert moderne und unkonventionelle Weise. Während viele größere Museen auf bekannte narrative Muster zurückgreifen, etwa das Zeigen von symbolischen Koffern, entwickelte das Museum Neukölln eine ganz eigene Form der Vermittlung. Anhand von 99 Objekten, die jeweils eine individuelle Geschichte erzählen, wird deutlich: Migration ist kein aufgesetztes Thema, sondern Teil der Geschichte und Gegenwart des Bezirks – und damit auch der Ausstellung selbst. Der Umstand, dass Migration nicht explizit im Zentrum steht, wirkt dabei keineswegs als Defizit. Im Gegenteil: Gerade durch den offenen, diversitätsbasierten Zugang wirken die Geschichten, die mit Migration in Verbindung stehen, besonders authentisch und nahbar.
Besonders überzeugend ist die konsequente Kontextualisierung, die jedes Objekt zu einem materiellen Zeugnis macht. So entstehen vielfältige Perspektiven auf Migration – fernab von Vereinfachungen oder Wiederholungen. Es wird deutlich, dass „Flucht“ oder „Ankommen“ nie generalisiert werden können, sondern immer individuell erzählt werden müssen. Ein zentrales Qualitätsmerkmal der Ausstellung ist dabei der partizipative Zugang: Viele Objekte stammen aus Spenden oder wurden im direkten Austausch mit den Besitzer:innen ins Museum gebracht. Dadurch wird nicht über Betroffene gesprochen, sondern mit ihnen – was stereotype Narrative vermeidet und stattdessen authentische, selbstbestimmte Geschichten in den Mittelpunkt stellt.
Insgesamt zeigt 99 x Neukölln, wie museale Praxis aussehen kann, wenn sie gesellschaftliche Realität ernst nimmt und dabei nicht auf spektakuläre Inszenierung, sondern auf persönliche Tiefe und Vielstimmigkeit setzt. Die Ausstellung verdeutlicht, dass Migration nicht als Sonderthema behandelt werden muss, um wirksam vermittelt zu werden – sie ist Teil des Alltags, Teil des Ortes, Teil der Objekte. Auch die Gestaltung der Ausstellung überzeugt und lädt zum Verweilen ein. Der Raum ist hell und gibt nicht vor, von wo nach wo man sich durch die Ausstellung zu bewegen hat. Dies lädt zum selbständigen Forschen und Entdecken ein. Die hellen Farben und der großzügige Raum machen den Aufenthalt dabei noch angenehmer. Auch eigentlich veraltete Präsentationsformen – große Vitrinen, gefüllt mit einer Vielzahl an Objekten – werden durch die Terminals aktualisiert, und eine tiefere Beschäftigung mit den Objekten wird ermöglicht. Dass auf den ersten Blick nicht viel über die Gegenstände zu erfahren ist, verstärkt die Motivation, selbstständig Initiative zu ergreifen und sich mit den Objekten, die besonders interessieren, auseinanderzusetzen. Und genau das macht ihre Wirkung so nachhaltig.
Museum Neukölln (Hrsg.): 99 x Neukölln. Geschichten aus einem Berliner Bezirk. Berlin: Nicolai Verlag, 2010.
Abb. 1: https://berliner-abendblatt.de/wp-content/uploads/2022/07/MG_1721_Logo.jpg
Abb. 2: https://schloss-gutshof-britz.de/application/files/thumbnails/small/9215/2468/7413/roentgenbild.jpg
Abb. 3: https://schloss-gutshof-britz.de/application/files/thumbnails/small/8315/2468/4684/karnevalsmaske.jpg
Abb. 4: https://schloss-gutshof-britz.de/application/files/thumbnails/small/3415/1989/8099/Amulett.jpg
99 x Neukölln
1. Januar 2011 bis (Dauerausstellung)
Museum Neukölln
Alt-Britz 81
12359 Berlin
Täglich von 10-18 Uhr
Eintritt frei
https://schloss-gutshof-britz.de/museum-neukoelln